Сложная операция в Нижневартовске: эндоскопическое удаление липомы
Врачи успешно справились с редкой задачей по удалению крупного образования.
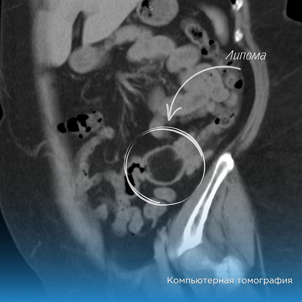
В Нижневартовскую окружную клиническую больницу поступила женщина с жалобами на боли в животе и нарушением стула. Исследования выявили у неё крупное подслизистое образование диаметром свыше 5 см, которое оказалось липомой.
Липома — это доброкачественное образование, которое развивается в подслизистом слое. Но, в случае пациентки, она смещалась вниз, что вызывало болевые ощущения.
Ситуация была сложной, так как врачи не имели опыта удаления таких крупных подслизистых образований эндоскопическим путём. Им предстояло решить: проводить открытую операцию с удалением части кишечника или попробовать удалить липому эндоскопически.
Эндоскопическое удаление липомы таких размеров технически сложное и сопряжено с риском перфорации кишечника, а также жизнеугрожающим кровотечением. Совместно с лечащим врачом и пациенткой мы приняли решение оперировать эндоскопически, так как возможность сохранения целого кишечника перевешивала вариант удаления его части, – комментирует врач-эндоскопист Иван Головин.
Липома была большой и не проходила через сфинктеры толстой кишки. Специалистам пришлось разделить на фрагменты её внутри кишечника и извлекать по частям. Операция продолжалась два часа и завершилась успешно.
Теперь женщине предстоит периодически проходить контрольные колоноскопии для мониторинга состояния.
Заведующий эндоскопическим отделением Михаил Рыжиков напоминает, что своевременное выявление и удаление образований на ранних стадиях значительно облегчает лечение и предотвращает возможные осложнения.
Последние новости

Поздравление главы Октябрьского района Сергея Заплатина с Днем работников следственных органов МВД России
Уважаемые работники и ветераны следственных органов! От всей души поздравляю вас с профессиональным праздником – Днём работника следственных органов МВД Российской Федерации!
Полицейские Югры присоединились к всероссийской акции «С нами Победа»
сегодня, 13:45 18 - В рамках акции о своем дедушке рассказал артист культурного Центра УМВД России по Югре Денис Щербаков - Мой дед Щербаков Владимир Иванович ушел на фронт в 1941 году, на тот момент ему было 21,
Югорчанка представила свои работы на выставке «Арт Россия»
сегодня, 18:02 21 - - Светлана Миляева, талантливая художница из Лангепаса, представляет своё творчество на масштабной выставке современного искусства «Арт Россия», проходящей в Гостином Дворе.

Преобразователь частоты
Все преобразователи проходят контроль и имеют сертификаты с гарантией